general | February 26, 2026

What does a nipple shadow mean?

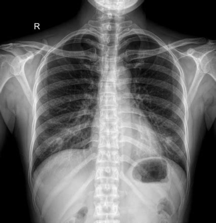
Nipple shadows refer to the silhouettes of the nipples on frontal chest radiographs, which may mimic solitary pulmonary nodules (SPNs).Click to see full answer. Also question is, are nipple shadows common?Nipple Shadows on Chest X-Rays. Nipple shadows are apparent on approximate 10% of AP/PA views of the chest. Nipple shadows can be seen in patients with different genders and age. When present, they need to be differentiated from more significant intra thoracic pleural or pulmonary nodules.Furthermore, what is bilateral nipple shadows? Nipple shadows are often seen on chest x-rays and can be easily confused for a pulmonary nodule or nodules. If there is any doubt the easiest method of determining whether opacities represent nipple shadows is a repeat chest x-ray with nipple markers. Hereof, what are nipple markers? Nipple markers. These can be small ball-bearings, paperclips reformed in triangle shapes around the nipple or other radiopaque markers, which are stuck to the chest with the nipple within or with the marker directly on the nipple.What does it mean if you have a shadow on your lung?Pulmonary edema is a condition involving the accumulation of fluid in the lungs, often due to heart disease. Aortic aneurysm (an enlargement of the aorta as it leaves the heart or begins to descend through the chest) can cause a shadow on chest X-rays.